WEB予約 LINE相談 モニター割引/学割

シニアのマウスピース矯正

03-6435-0285電話回線工事中のため、
お電話は田町三田院にて承ります。

24時間WEb予約 LINE相談
キービジュアル
相談+診断=無料

矯正
いくつからでも始められる!

以下の方もご相談ください
  • 他院で「矯正」を断られた
  • 「入れ歯」「ブリッジ」が入っている
  • 「歯周病」が進行している
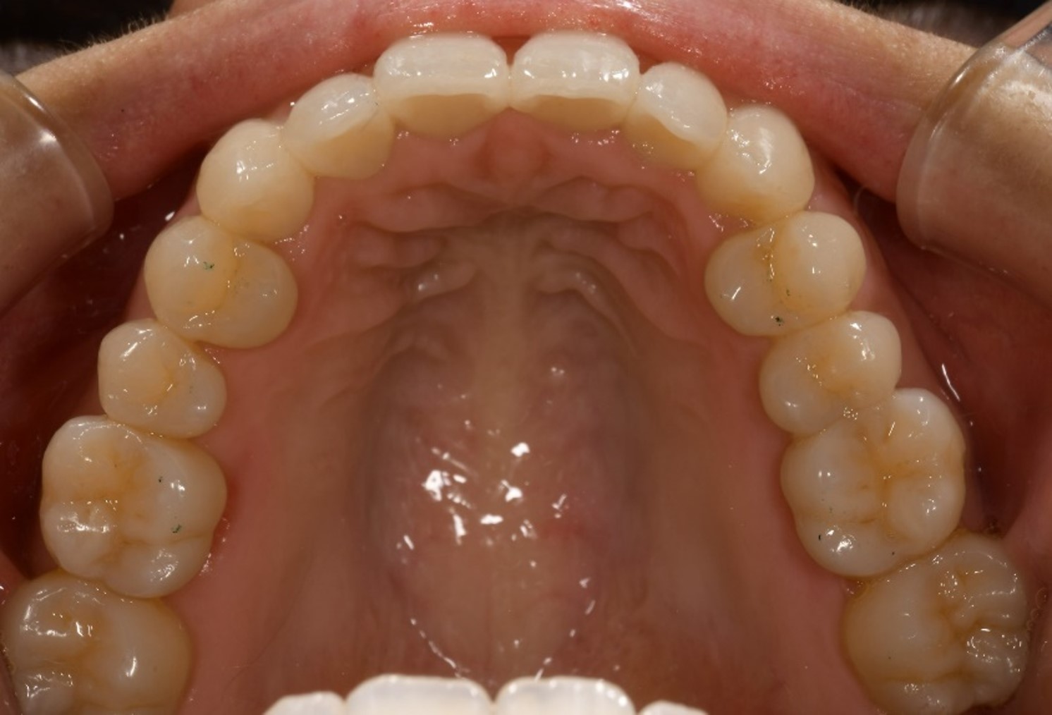
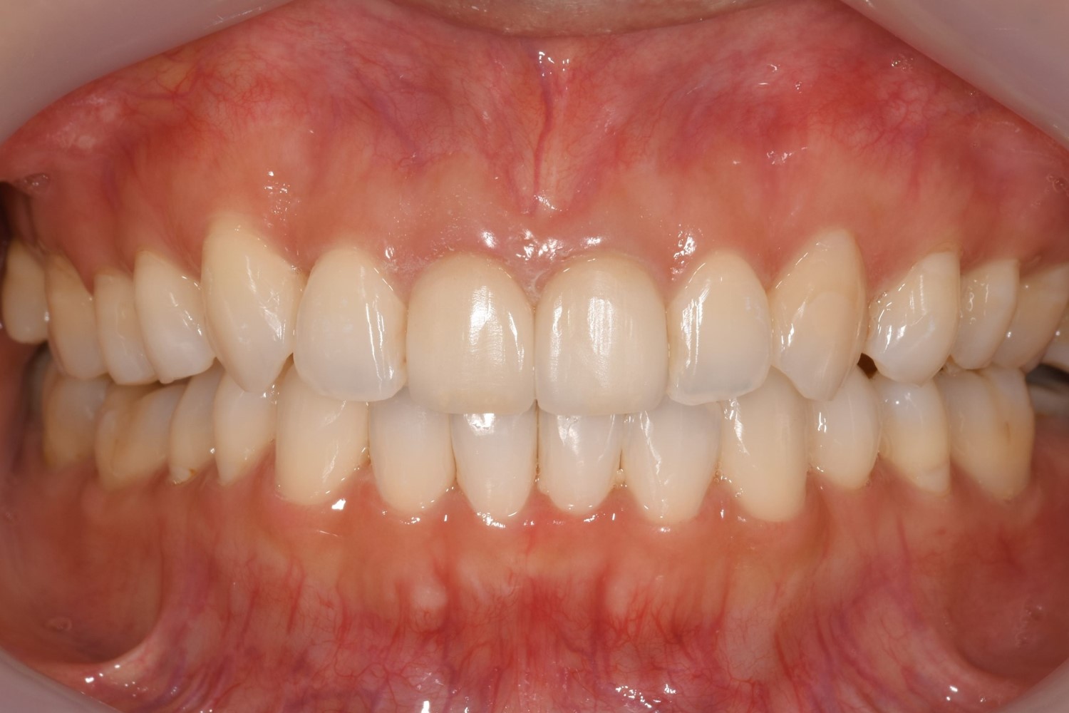
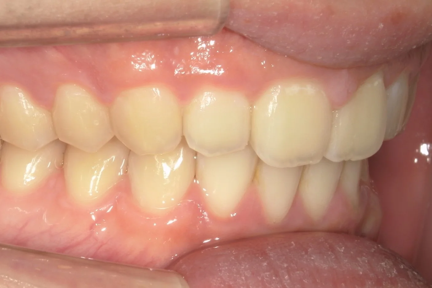
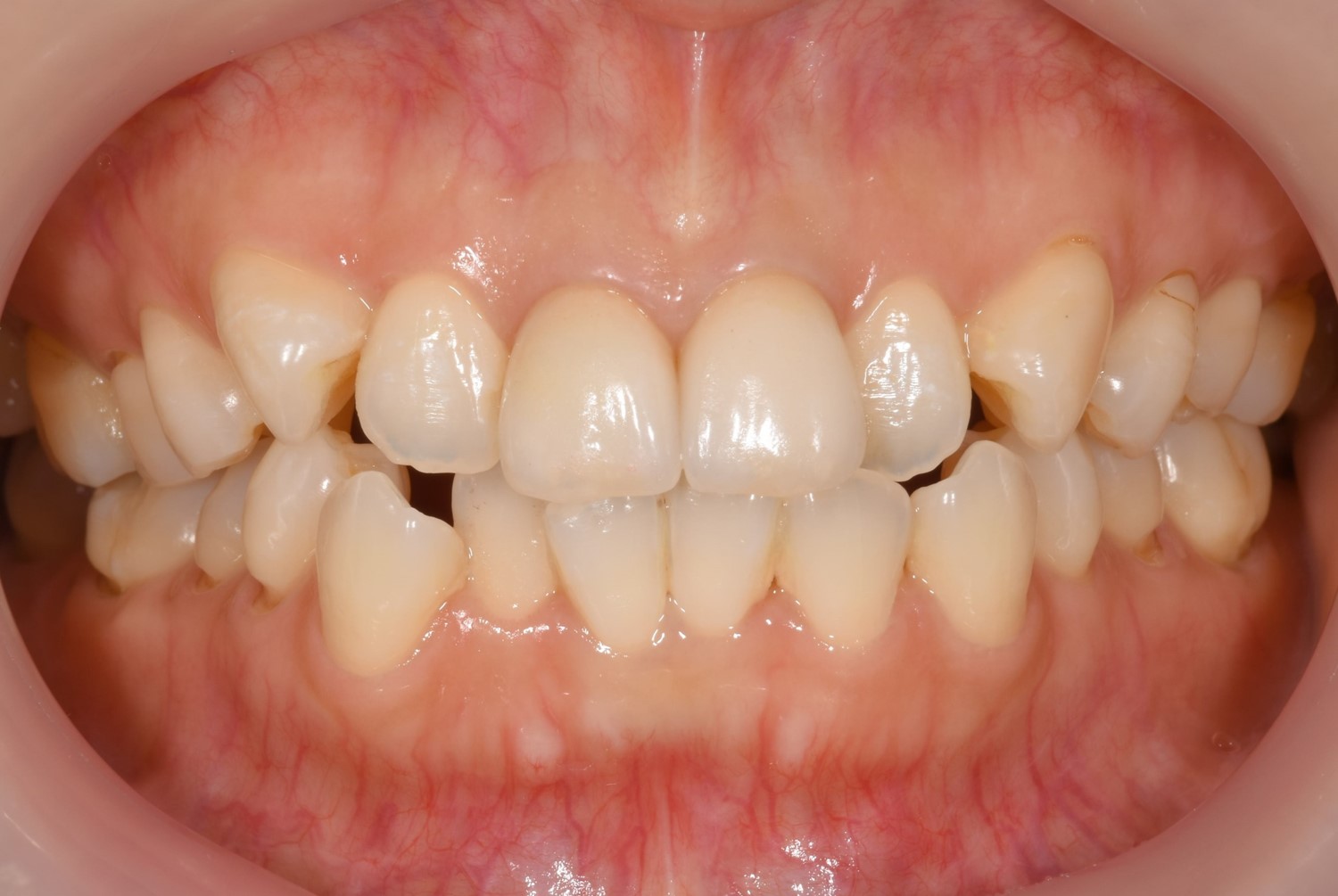
  • 画像
  • 画像
  • 治療前
  • 治療後
  • 治療前
  • 治療後
  • 治療前
  • 治療後

シニアの矯正治療が「難しい」と言われる理由は?

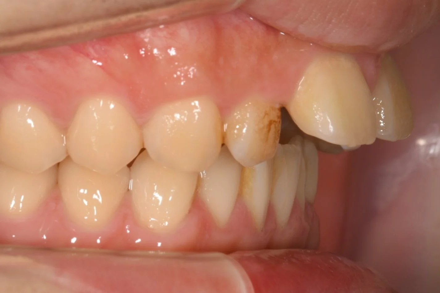
年齢を重ねると、歯ぐきの病気(歯周病)や歯を失ってしまうなど、お口の悩みはどうしても増えていきます。そのため、「自分にはもう矯正治療はできない」と、あきらめてしまう方も少なくありません

また、他の歯科医院で
「歯周病があるからできません」
「入れ歯が入っているので難しいです」
と断られてしまった――そんな経験をお持ちの方もいらっしゃいます。

本当に、矯正はできないのでしょうか?

確かに、歯周病がある方や、入れ歯・ブリッジ・インプラントを使われている方の矯正治療は、一般的なケースよりも高い技術と慎重な判断が必要になります。だからこそ、対応できる医院が限られてしまうのです。

しかし、当院では、
  • 歯周病がある方
  • 歯を失っている方
  • 入れ歯・ブリッジ・インプラントを使用されている方
こうした方でも、矯正治療ができる可能性を探っていきます。
なぜなら、当院の担当医は矯正治療だけでなく、歯周病治療や入れ歯・ブリッジ・インプラント治療にも幅広く対応してきた経験があるからですそれゆえにお口全体を総合的に診ることができ、「矯正だけ」「歯周病だけ」といった部分的な判断ではなく、将来を見据えた治療計画をご提案できるのです

さらに、必要に応じて信頼できるドクターと連携し、より安心できる体制を整えています。

年齢は、矯正をあきらめる理由にはなりません
大切なのは、「今のお口の状態に合わせた、無理のない治療を選ぶこと」です。
もしこれまでに断られた経験があっても、どうか一度ご相談ください。
あなたのお口の状態を丁寧に拝見し、「できる矯正治療」を一緒に考えます。

特徴!「歯周病の状態」で矯正治療を行うリスク

歯周病の状態で、矯正治療を行うことは決してお勧めできません
もし歯ぐきに炎症があったり、歯を支える土台が弱っている状態(歯周病)だった場合、そのまま矯正を始めてしまうのは、実はとても危険です。
歯周病のまま矯正をすると、以下のようなリスクがあります。

リスク①歯がぐらついたり、抜けてしまうことも

歯周病は、歯を支えている骨(歯槽骨)を少しずつ溶かしてしまう病気です。
弱った土台に矯正の力が加わると、歯のぐらつきが強くなり、最悪の場合は歯が抜け落ちてしまうこともあります。

リスク②歯ぐきの炎症が悪化する

矯正治療は、歯を少しずつ動かしていく治療です。
その過程で歯ぐきには負担がかかります。
炎症がある状態で始めると、腫れや出血が強くなり、症状が進んでしまう可能性があります。

リスク③思うような結果が出にくい

歯槽膿漏などで歯を支える骨が減っていると、歯を安全に、きれいに動かすことが難しくなります。
時間も費用もかけたのに、「思ったほどきれいにならなかった…」という結果になってしまっては、とてもつらいですよね。

だからこそ、私たちは「順番」を大切にします。まずは歯ぐきと骨の状態を整え、歯が安心して動ける環境をつくる。そのうえで矯正治療へ進むことが、結果的にいちばんの近道になるのです。

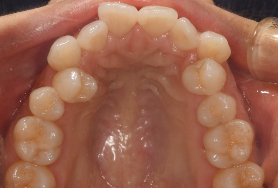
当院が行う「シニア世代のための矯正治療」とは?

シニア世代の矯正治療には、より丁寧さが求められます
お子さんや若い方と違い、長い年月をともにしてきた歯や歯ぐきには、それぞれの歴史があります。だからこそ私たちは、その歩みを大切にしながら、無理のない矯正の方法をご提案しています。

まずは「歯ぐきの健康」を整えることから

年齢を重ねると、歯ぐきの病気が進み、歯を支える骨が少なくなっている場合があります
歯は、土台の上に立つ“柱”のようなものです。
土台が弱っている状態で力をかけると、柱がぐらついてしまいます。
一方で矯正治療は歯に少しずつ力をかけて動かしていく治療です。
もし歯ぐきが弱ったままだと、
  • 歯がぐらつく
  • 歯ぐきの炎症が悪化する
  • 最悪の場合、歯を失ってしまう
といったリスクが高まります。

そのため当院では、歯ぐきに炎症がある場合、まずはしっかりと改善することを目指します。そして炎症が落ち着き、安心して歯を動かせる状態になったことを確認してから、矯正治療へ進みます。
重度の歯ぐきのトラブルがある場合でも、専門医や大学病院と連携しながら対応できる体制を整えています。どうぞご安心ください。

「歯が足りない」方の矯正治療も行います

シニア世代では、歯が一部抜けているケースも珍しくありません。
その場合は、まず矯正でかみ合わせと歯並びを整え、その後、不足している部分をインプラントブリッジなどで補う、という順番で進めることが多いです。

欠けている部分のスペースをどう残すか、どこに補うのが最も負担が少ないか――こうした細かな計画が、治療の満足度を大きく左右します。

また、すでにブリッジをお使いの方も、「外す必要があるのか」「そのまま活かせるのか」を含めて丁寧に検討します。無理に治療を進めることはありません。
当院では、歯並びを整える治療だけでなく、かぶせ物や入れ歯など「歯を補う治療」についても深い知識と経験をもとに診療を行っています。

ピュアリオ歯科が高い評価を受ける「理由」

最短3ヵ月/44万円(税込)~のマウスピース矯正

世界TOPランクDr.が必ず「設計を担当」

マウスピース矯正は、「どこで受けても同じ」と思われがちですが、実は担当するドクターによって、仕上がりや治療期間に大きな差が出る治療です。当院の理事長・Dr.湊は、これまでに5,000症例を超える矯正治療を手がけてきました。その実績と技術が評価され、インビザラインにおいて国内外でも限られたドクターのみが選ばれる「トッププロバイダー」に3大会連続で選出されています。

さらに当院は、7年連続でダイヤモンドプロバイダーを取得し、現在は「ブルー・ダイヤモンドプロバイダー」に認定。これは年間751症例以上を手がける医院にのみ与えられる称号です。これだけ多くの症例が集まるのは、患者さまからの信頼の証であり、同時に、さまざまなケースに対応できる経験と技術があるからです。世界水準の矯正技術による治療を、ぜひ当院でご体感ください。

世界から高い評価を受ける「MINATOメソッド」

一般的な矯正治療ではAIによるシミュレーションが多用されますが、計画と実際の動きに生じるわずかなズレが積み重なり、治療期間が大幅に延びるリスク/治療精度が落ちるリスクが報告されています。こうした課題に対し、当院が提供する「MINATOメソッド」は、豊富な実績を持つ理事長がすべての設計を監修するAI任せにしないフルオーダーメイドの治療法です。単に歯並びを整えるだけでなく、噛み合わせの精度まで追求することで、短期間で質の高い治療結果を実現しています。

初診「個別」相談へのご案内

当院では、患者さんが抱えていらっしゃるお口のお悩みや疑問・不安などにお応えする機会を設けております。どんなことでも構いませんので、私たちにお話ししていただけたらと思います。
ご興味がある方は下記からお問い合わせください。

ご予約・お問い合わせ03-6435-0285 電話回線工事中のため、お電話は田町三田院にて承ります。

24時間WEB予約 LINE相談 モニター割/学割

〒273-0032
千葉県船橋市葛飾町2丁目341−3

西船橋駅より徒歩3分

このページの先頭に戻る