WEB予約 LINE相談 モニター割引/学割

状態別

03-6435-0285電話回線工事中のため、
お電話は田町三田院にて承ります。

24時間WEb予約 LINE相談
キービジュアル
歯並びの矯正治療

あなたの歯並びはどれ?
タイプ別「治療法」と「リスク」
をチェック!

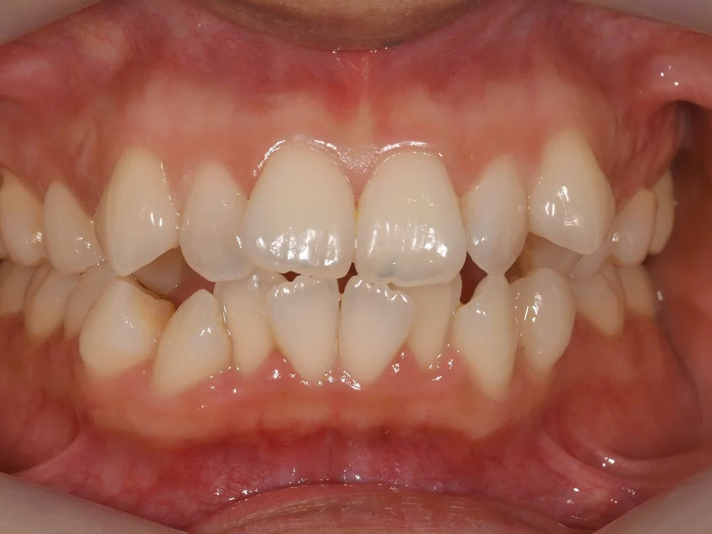
  • 画像
  • 画像
  • 治療前
  • 治療後
  • 治療前
  • 治療後
  • 治療前
  • 治療後
  • 治療前
  • 治療後

コラム95%の患者さんは抜歯不要/治療期間は最短3カ月

自分の歯並びが気になって、矯正治療をするために歯科医院を訪れた方は次のように言われてしまうことがあります。
  • 「歯を抜かないといけませんね」
  • 「長期間の治療が必要になります」
「本当に抜かなきゃいけないの?」「そんなに長い間、通い続けられるかな?」
そう思われるのは、とても自然なことです。

当院では、約95%の方が歯を抜かずに矯正治療を行っています
歯は一本一本が大切なあなたの財産です。
できる限りそのまま活かしながら、きれいに整える方法を当院では第一に考えます。

また、治療期間は「できるだけ短く」をモットーにしています
一般的に「矯正は長い」と思われがちです。
もちろんお口の状態によりますが、当院では最短3ヵ月で終了された方もいらっしゃいます。

それは、必要な処置を省いているからではありません。
むしろその逆で、
  • お口全体を丁寧に分析する「診断力
  • 歯を効率よく安全に動かす「技術力
この2つを大切にしているからこそ、無駄のない治療が可能になります。

今は多くの歯科医院で矯正治療を受けることができます。しかし、実際に治療を行うのは“人”。
だからこそ、診断や技術にはどうしても差が生まれます。
矯正は「どこでやるか」がとても大切なのです。

出っ歯

出っ歯(上顎前突)」には次のような特徴があります。
  • 横から見たときに唇が前に出て見える
  • 口が自然に閉じにくい
  • 前歯が目立ちやすい
また、出っ歯は見た目だけの問題ではなく、放っておくと、お口や体にさまざまな影響が出ることがあります

「出っ歯」によって起こりやすい5つのリスク

① 前歯や唇をケガしやすい

前歯が前に出ていると、転んだときやぶつかったときに、前に突き出た部分が最初に当たってしまいます。そのため、
  • 前歯が欠ける
  • 歯が折れてしまう
  • 唇を切ってしまう
といったトラブルが起こりやすくなります。特にスポーツをしている方や、活動的な方は注意が必要です。

② 奥歯に負担がかかり、将来歯を失う可能性も

本来、食べ物を「かみ切る」のは前歯の役割です。
しかし前歯がうまく噛み合わないと、その役目を奥歯が代わりに担うことになり、奥歯に負担がかかります
その結果、奥歯がすり減ったり、ひびが入ったり、歯ぐきの病気が進みやすくなったりします。

③ 虫歯・歯周病・口臭のリスクが高まる

出っ歯の方は、無意識のうちに口が開きやすく、口呼吸」が習慣になっていることがあります
口呼吸によってお口の中が乾きがちになると、本来ばい菌を洗い流してくれる“唾液の力”が弱まってしまいます。その結果、
  • 虫歯になりやすい
  • 歯ぐきの腫れや出血が起こりやすい
  • 口臭が気になる
といったトラブルにつながることがあります。

④ あごの痛みや違和感(顎関節のトラブル)

前歯でしっかり噛めない状態が続くと、どうしても奥歯ばかりに頼る噛み方になります。すると、あごの関節や筋肉に無理な力がかかり、
  • 口を開けるとカクッと音がする
  • あごがだるい
  • 口を大きく開きにくい
といった症状(顎関節症)が出ることがあります。

⑤ 胃腸への負担

よく噛めないまま飲み込むと、食べたものを消化するために胃や腸ががんばらなければなりません。その結果、
  • 胃もたれ
  • 消化不良
  • 栄養の吸収効率の低下
につながることもあります。

すきっ歯

歯と歯の間の隙間が目立ってしまう「すきっ歯」。特に前歯の真ん中のすき間は、思っている以上に目立ちやすいものです。
写真を撮るときについ口元を隠してしまう、思いきり笑えない――その小さなストレスが、毎日の自信に影響していることもあります。

すきっ歯は、生まれつきの場合もあれば、後からできることもあります。たとえば、
  • 小さいころの指しゃぶりの習慣
  • あごの大きさや形の特徴
  • 歯とあごのバランス
などが関係していることがあります。

すきっ歯の治療は、歯を抜かずに行えるケースがほとんどです。
また、他の歯並びの治療と比べると、比較的短い期間で整うことも少なくありません。ほんの数ミリのすき間が閉じるだけで、笑顔の印象はぐっと変わります。また、すきっ歯は目ための問題だけでなく、放っておくと、お口の健康にも関わることがあります。

「すきっ歯」によって起こりやすい3つのリスク

① むし歯・歯ぐきの病気のリスク

すき間があると、一見お掃除しやすそうに見えます。
でもきちんと歯磨きができていないと、そこに食べ物が詰まりやすく、汚れがたまりやすくなります。その状態が続くと、「むし歯」や「歯ぐきの腫れや出血」の原因になることがあります。

② 特定の歯に負担が集中する

歯の隙間により、噛み合わせが悪くなると、噛む力が一部の歯に偏ってしまいます。
その結果、歯の根元にダメージが出ることもあります。

③ あごへの負担がかかる

かみ合わせのバランスが崩れると、あごの関節にも負担がかかります。その結果、
  • 口を開けるとカクッと音がする
  • あごがだるい
  • 口を大きく開きにくい
といった症状が出ることがあります。

ガタガタの歯(叢生)

「歯が重なってガタガタしている…」
「上の犬歯だけ前に出ているのが気になる…」
こうした歯並びは、一般的に「乱杭歯(らんぐいば)」や「八重歯」と呼ばれます。
専門的には「叢生(そうせい)と言います。

このような歯並びは、多くの場合、あごの大きさに対して歯が並ぶスペースが足りないことが原因で起こります。

例えば歯13~14本分しかないあごに16本の歯が並ぼうとすると、きれいに横一列で歯は並べなくなります。列の前や後ろに生えてしまうことで、並び方はどうしてもガタガタになります。

また、ガタガタの歯並びは目ための問題だけでなく、放っておくと、お口の健康にも関わることがあります。

「ガタガタの歯並び」によって起こりやすい4つのリスク

① むし歯・歯ぐきの病気になりやすい

歯が重なっていると、歯ブラシが届きにくい場所ができます。どんなに丁寧に磨いても、どうしても磨き残しが出てしまうのです。
その結果、「むし歯」や「歯ぐきの腫れや出血」が起こりやすくなります。

② 食べ物がしっかり噛めない

歯は本来、上下がバランスよく当たることで力を発揮します。しかし上下がガタガタしていると、うまく噛み合いません。

その結果、食べ物を十分に細かくできず、胃や腸に負担がかかることもあります。
「自分はどうも胃がもたれやすい」――そんなお悩みは、実は噛み合わせが関係しているかもしれません。

③ 発音が悪くなってしまうことも

ガタガタの歯は、発音にも影響を与えます。
特に「さしすせそ」「たちつてと」などの音が、はっきり出しにくくなることがあります。

④ 歯に負担が集中し、弱くなる

歯並びがガタガタの状態でいると、噛み合わせのバランスが悪くなり、一部の歯に強い力がかかり続けることになります。
その歯や歯ぐきに無理がかかり続けることで、将来的にダメージが大きくなり、最悪の場合、歯を失う原因になりかねません。

受け口

下あごが前に出て見えることで、いわゆる“しゃくれた印象”になることがあります。そんな状態を一般的に「受け口」と呼びます。
受け口になる原因には、大きく分けて次の2つです。

「歯並び」が原因の受け口

歯の位置や並び方が原因で、かみ合わせが逆になっている場合、受け口になりやすいです。
この場合は、矯正装置を使って歯の位置を整えることで改善が期待できます。歯科医院だけで治療が可能です。

「あごの骨の形」が原因の受け口

あごの骨の大きさや位置が原因で受け口になることがあります
この場合は、矯正治療に加えてあごの骨の手術が必要になり、歯科医だけでは治療できません。

受け口の場合、当院では、より丁寧な検査を行い、本当に手術が必要なのかどうかを慎重に見極めます。

「受け口」によって起こりやすい3つのリスク

「受け口」は見た目だけの問題と思われがちですが、実は体の健康にも影響を与えることがあります。

①奥歯に強い負担がかかる

受け口では、本来バランスよく分散されるはずのかむ力が、奥歯に集中しやすくなってしまいます。その結果、奥歯がすり減ったり、傷んだりしやすくなります。長い目で見ると、歯の寿命を縮めてしまうこともあります。

②あごに痛みや違和感が出やすい

かみ合わせが合っていない状態が続くと、あごの関節に負担がかかります。その結果、
  • 口を開けると音がする
  • あごがだるい
  • 大きく口を開けづらい
といった顎関節症特有の症状が出ることもあります。

③胃腸に負担がかかりやすくなる

前歯でうまく食べ物をかみ切れないと、十分に細かくできないまま飲み込むことになります。その結果、胃や腸に負担がかかり、消化不良や胃もたれにつながることもあります。

前歯が噛み合わない

「前歯で食べ物が噛み切れない…」
「口を閉じても、前歯の間にすき間ができる…」

このような状態を、専門的には「開咬(かいこう)」と言います。簡単に言うと上下の前歯がかみ合っていない状態のことです。
開咬は、「舌の使い方のくせ」が原因でなりやすいことで知られています。

食べ物を飲み込むときに、
・舌が前に出る
・舌で前歯を押してしまう
こうした動きをくせや習慣として長年続けることで、少しずつ歯が押し出され、前歯が閉じなくなってしまうのです。

開咬の治療では、次の2つのアプローチを同時に行うことが重要です。

① 歯並びを整える治療

矯正によって、前歯がきちんと噛み合う位置へと導きます。

② 正しい舌の使い方を身につけるトレーニング

歯並びを整えても、舌のくせが残っていると元に戻ってしまうことがあります。そのため、トレーニングで正しい舌の使い方を身につけていきます。

「開咬」が続くと起こりやすい4つのリスク

「開咬」により、日常生活の中で意外な不便や負担が生じることがあります。

① 食事が楽しみにくくなる

前歯で噛み切れないと、ラーメン、パスタ、うどんなどの麺類が噛みづらくなります。その結果、
  • 丸のみしやすい
  • 胃がもたれやすい
  • 外食がストレスになる
といったことが起こりやすく、食事の楽しみが減ってしまうことも。

②奥歯に負担が集中してしまう

前歯が使えないので、奥歯ばかりに頼ることになります。その結果、奥歯がすり減ったり、弱くなったりしやすくなります。

③あごの痛みや違和感が出やすくなる

かみ合わせのバランスが崩れることで、あごの関節に負担がかかります。そのため、
  • あごがだるい
  • 口を開けると音がする
  • 大きく開けづらい
といった症状につながることもあります。

④話しづらくなる

前歯がきちんと閉じないと、空気がもれて発音が不明瞭になることがあります。そのため、
「人前で話すのが少し不安」
「滑舌が気になる」
といった悩みをどうしても抱えやすなります。

噛み合わせが深い

噛み合わせが深い」と言われたことはありませんか?
具体的には、上の前歯が下の前歯をすっぽりと覆い隠してしまう状態です。医学的には「過蓋咬合(かがいこうごう)」と言います。見た目では気づきにくい過蓋咬合ですが、実はお口や体にさまざまな影響を与える可能性がある噛み合わせです。

噛み合わせが深くなる原因として、以下の点が挙げられます。
  • 上の前歯が前に倒れすぎている
  • 下の前歯が内側に傾いている
  • 上あごが大きく成長している
  • 下あごの成長が十分でない
また、唇を噛むクセや指しゃぶりなどの習慣が長く続くことも、歯並びやあごの発達に影響を与えることがあります。

噛み合わせはバランスが肝心。少しの傾きやズレが重なることで、全体のバランスが崩れてしまうのです。だからこそ、丁寧な診断がとても大切になります。

「噛み合わせが深い」と起こりやすい4つのリスク

「噛み合わせが深い」状態を放置しておくと、口や体に負担がかかることがあります。

①歯ぐきが傷つきやすい

下の前歯が上の歯の裏側の歯ぐきに当たり続けると、歯ぐきがこすれて炎症が起こり、口内炎ができやすくなります。
小さな傷でも、毎日繰り返されると大きなトラブルにつながります。

②しっかり噛めない

前歯は、食べ物を最初に「かみ切る」大切な役割をしています。噛み合わせが深いと、この働きがうまくいかず、丸のみのような状態になってしまうことも。
その結果、胃腸に負担がかかったり、栄養の吸収に影響が出たりすることがあります。

③あごや体へ負担がかかる

あごの動きが制限されると、関節に余計な力がかかります。
「口を開けるとカクッと音がする」
「大きく口を開けにくい」
といった症状が出ることもあります。

さらに、あごの緊張が続くことで、頭痛や肩こりにつながるケースもあります。

④歯ぐきが目立ちやすくなる

上の前歯が下の前歯を覆いすぎることで、歯ぐきが目立ちやすくなります。これにより笑ったとき、「ガミースマイル」という歯ぐきが目立つ顔貌が出やすくなります。

顎のズレ

自分の顔を鏡で見たときに
「なんとなく顔が左右で違う気がする」
「写真を撮ると口元が少し傾いて見える」
と思うことはありませんか?

これは上下の顎がズレていて、上下の歯の真ん中がきれいに合わず、左右どちらかにずれているためにそのように見えるのです。そのまま横にずれている場合もあれば、斜めに傾くようにずれることもあります。

この「顎のズレ」ですが、日々の習慣や体質など、さまざまな要素が関係して起こります。以下に「顎のズレ」が起こりやすい原因についてご紹介します。

片側だけで噛むクセがある

「気づくと右側ばかりで噛んでいる」
そんな習慣が続くと、片方の筋肉ばかりが使われ、少しずつ顎が引っ張られていきます。毎日の小さな積み重ねが、やがて目に見えるズレになることもあります。

「歯の本数」や「生え方」に違いがある

生まれつき歯の本数が少なかったり、歯ぐきの中に埋まったまま出てこない歯があったりすると、左右のバランスが崩れやすくなります。テーブルの脚の長さが左右で違うような状態になり、顎は自然に傾いてしまいます。

遺伝の影響

顎の形や大きさは、ご家族に似ることがあります。体質としてズレが起こりやすい場合も考えられます。

「顎のズレ」によって起こりやすい3つのリスク

「顎のズレ」を放置しておくことで、次のようなトラブルが起こりやすくなります。

①「顔のゆがみ」が目立ってしまう

顎のズレが大きくなると、口元やフェイスラインが左右非対称に見えやすくなり、「顔のゆがみ」が目立つ顔になってしまいます。

②顎や体に負担がかかる

顎がズレたままだと、関節に余計な力がかかります。
  • 口を開けると音がする
  • 大きく口が開かない
  • 顎がだるい、痛い
といった症状(顎関節症)が出ることもあります。
さらに、顎の緊張が続くことで、頭痛や肩こりにつながる場合もあります。

③しっかり噛めない

顎のズレにより噛み合わせが合っていないと、食べ物を効率よくすりつぶせません。
その結果、胃腸に負担がかかったり、栄養を十分に吸収できなかったりすることもあります。

歯科矯正の専門家が、歯並び治療の最適プランをご提案します

出っ歯、すきっ歯、叢生、受け口、開咬、過蓋咬合、顎のズレ
これらは歯列矯正を行うことで改善できます。そして、見た目がよくなるだけでなく、健康面の不安も取り除くことができます。

当院では、矯正治療を専門的に学んできた歯科医師が、丁寧なカウンセリングと検査を行い、「インビザライン」を活用しながら、お一人おひとりに合わせた治療プランをご提案しています。

目立ちにくいマウスピース矯正「インビザライン」を使った治療

当院では、世界中で選ばれているマウスピース矯正「インビザライン」による治療を行っています。
透明なマウスピースを使って、少しずつ歯を動かしていく方法です。
  • 装着していてもほとんど気づかれない
  • 金属のワイヤーを使わない
  • 自分で取り外しができる
という特長があります。

「仕事中に目立つのは避けたい」
「人前で話す機会が多い」
「できるだけ自然な見た目で治療したい」

そんな方にとって、安心して始めやすい治療方法です。日常生活への負担が少ないのも魅力で、マウスピースは食事や歯みがきのときに取り外せます。

そのため、
  • これまで通り好きなものを食べられる
  • しっかり歯みがきができる
  • 装置に食べ物が挟まる心配が少ない
といったメリットがあります。

「矯正=大変そう」というイメージをお持ちの方にも、比較的負担が少なく続けやすい方法です。矯正は、未来の自分へのプレゼント。歯並びが整うと、見た目の印象が変わるだけではありません。
  • 歯みがきがしやすくなる
  • 虫歯や歯ぐきのトラブルを予防しやすくなる
  • しっかり噛めるようになる
など、長い目で見たときの健康にもつながります。

インビザラインについて詳しく知りたい方は、大人のマウスピース矯正のページもぜひご覧ください。

ピュアリオ歯科が高い評価を受ける「理由」

最短3ヵ月/44万円(税込)~のマウスピース矯正

世界TOPランクDr.が必ず「設計を担当」

マウスピース矯正は、「どこで受けても同じ」と思われがちですが、実は担当するドクターによって、仕上がりや治療期間に大きな差が出る治療です。当院の理事長・Dr.湊は、これまでに5,000症例を超える矯正治療を手がけてきました。その実績と技術が評価され、インビザラインにおいて国内外でも限られたドクターのみが選ばれる「トッププロバイダー」に3大会連続で選出されています。

さらに当院は、7年連続でダイヤモンドプロバイダーを取得し、現在は「ブルー・ダイヤモンドプロバイダー」に認定。これは年間751症例以上を手がける医院にのみ与えられる称号です。これだけ多くの症例が集まるのは、患者さまからの信頼の証であり、同時に、さまざまなケースに対応できる経験と技術があるからです。世界水準の矯正技術による治療を、ぜひ当院でご体感ください。

世界から高い評価を受ける「MINATOメソッド」

一般的な矯正治療ではAIによるシミュレーションが多用されますが、計画と実際の動きに生じるわずかなズレが積み重なり、治療期間が大幅に延びるリスク/治療精度が落ちるリスクが報告されています。こうした課題に対し、当院が提供する「MINATOメソッド」は、豊富な実績を持つ理事長がすべての設計を監修するAI任せにしないフルオーダーメイドの治療法です。単に歯並びを整えるだけでなく、噛み合わせの精度まで追求することで、短期間で質の高い治療結果を実現しています。

初診「個別」相談へのご案内

当院では、患者さんが抱えていらっしゃるお口のお悩みや疑問・不安などにお応えする機会を設けております。どんなことでも構いませんので、私たちにお話ししていただけたらと思います。
ご興味がある方は下記からお問い合わせください。

ご予約・お問い合わせ03-6435-0285 電話回線工事中のため、お電話は田町三田院にて承ります。

24時間WEB予約 LINE相談 モニター割/学割

〒273-0032
千葉県船橋市葛飾町2丁目341−3

西船橋駅より徒歩3分

このページの先頭に戻る