相談+診断=無料
矯正後の「後戻り」が気になっている方へ

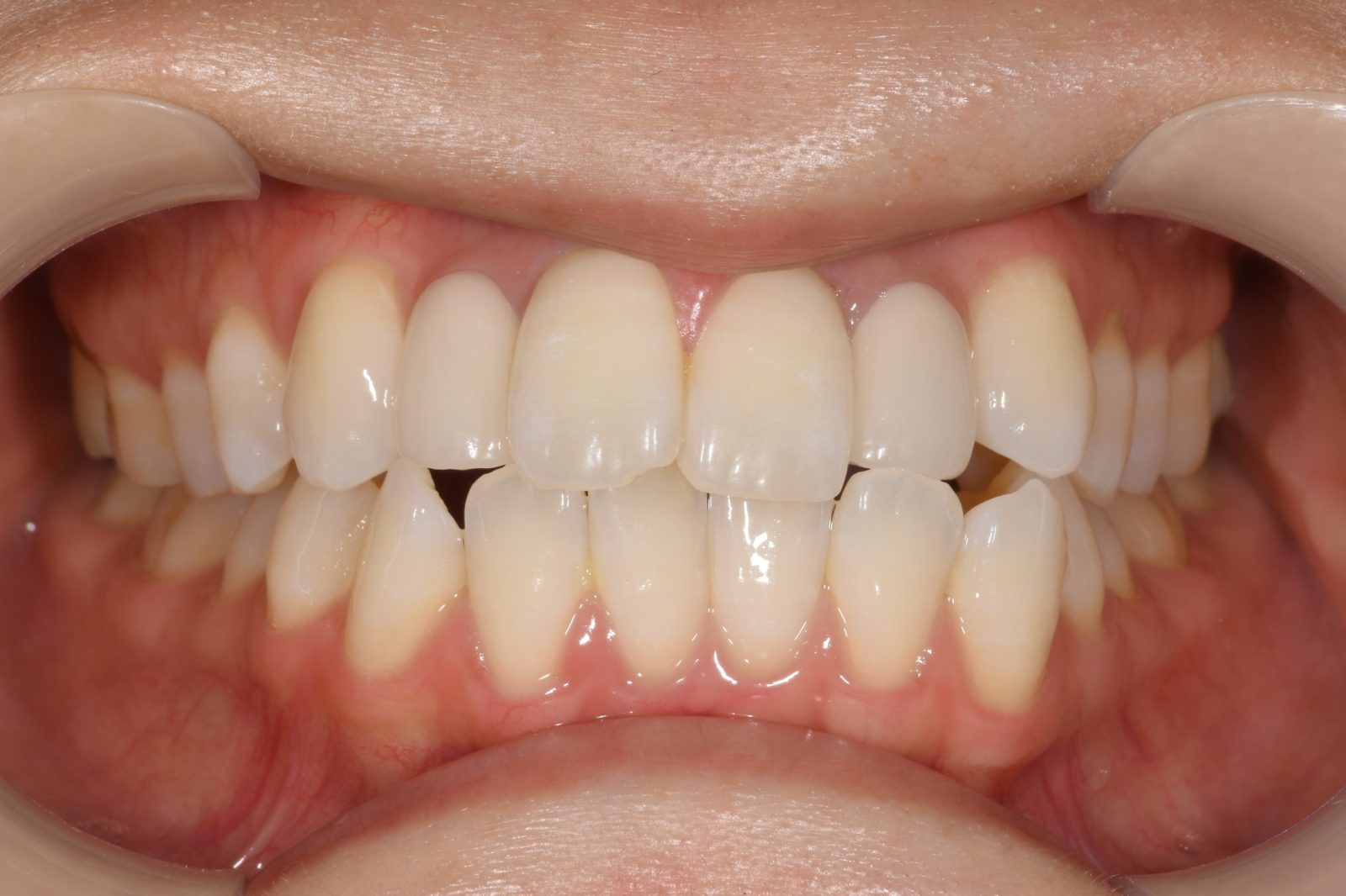
「きれいに整えたはずの歯並びが、少しずつ元に戻ってきている気がする…」
そんな違和感に、ふと気づいたことはありませんか?
実は最近、
「数年前に矯正を終えたのに、歯が動いて元の状態に近づいている」
という方のご相談がとても増えています。
また、そのような「後戻り」が起こってしまった方からは、よく次のような声が寄せられます。
そんな違和感に、ふと気づいたことはありませんか?
実は最近、
「数年前に矯正を終えたのに、歯が動いて元の状態に近づいている」
という方のご相談がとても増えています。
また、そのような「後戻り」が起こってしまった方からは、よく次のような声が寄せられます。

- 治したらまた高い費用がかかるの?
- 何年も装置をつける生活に戻るのはつらい…
- せっかく治しても、また戻ってしまうのでは…
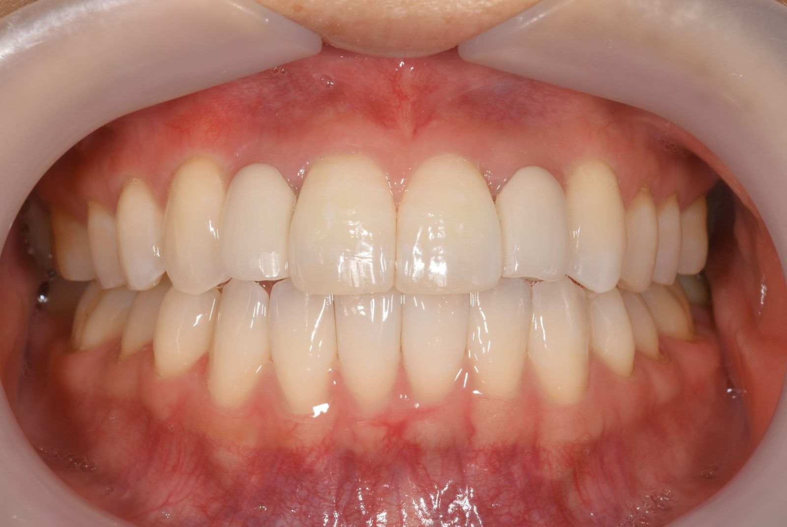
どれも、とても自然なお気持ちです。
一度がんばって治療を乗り越えたからこそ、同じ思いはしたくないですよね。
当院では、こうした方々のお気持ちに少しでも寄り添えるよう、「短期間」かつ「低価格」の再矯正プランをご用意しています。
また、過去に当院で矯正治療を受けた方に向けて、「後戻り補償オプション」というプランもご用意しています。
一度がんばって治療を乗り越えたからこそ、同じ思いはしたくないですよね。
当院では、こうした方々のお気持ちに少しでも寄り添えるよう、「短期間」かつ「低価格」の再矯正プランをご用意しています。
また、過去に当院で矯正治療を受けた方に向けて、「後戻り補償オプション」というプランもご用意しています。










































