WEB予約 LINE相談 モニター割引/学割

大人のマウスピース矯正

03-6435-0285電話回線工事中のため、
お電話は田町三田院にて承ります。

24時間WEb予約 LINE相談
キービジュアル
相談+診断=無料

熟練Dr. による
マウスピース矯正
非抜歯率95%
最短3ヵ月

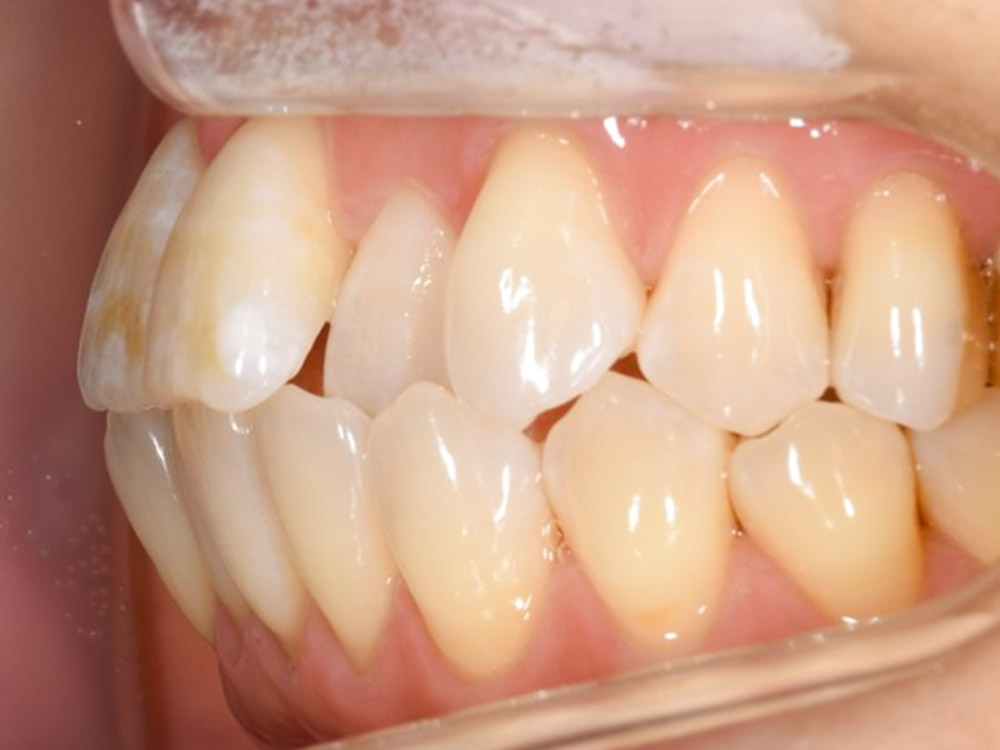
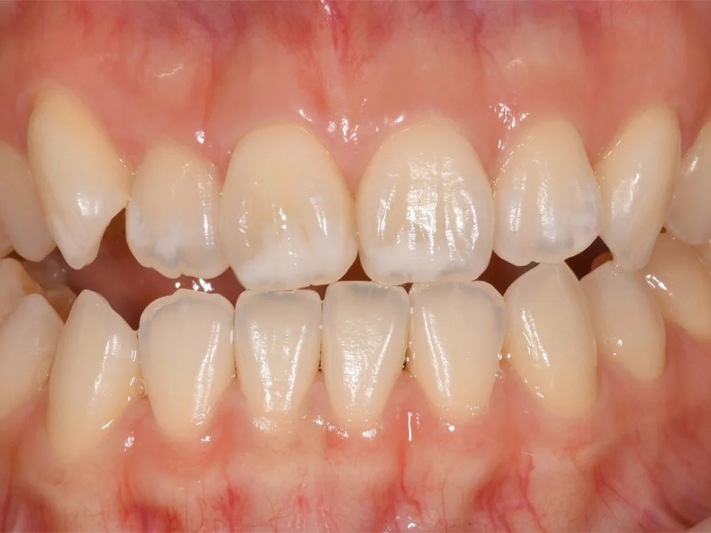
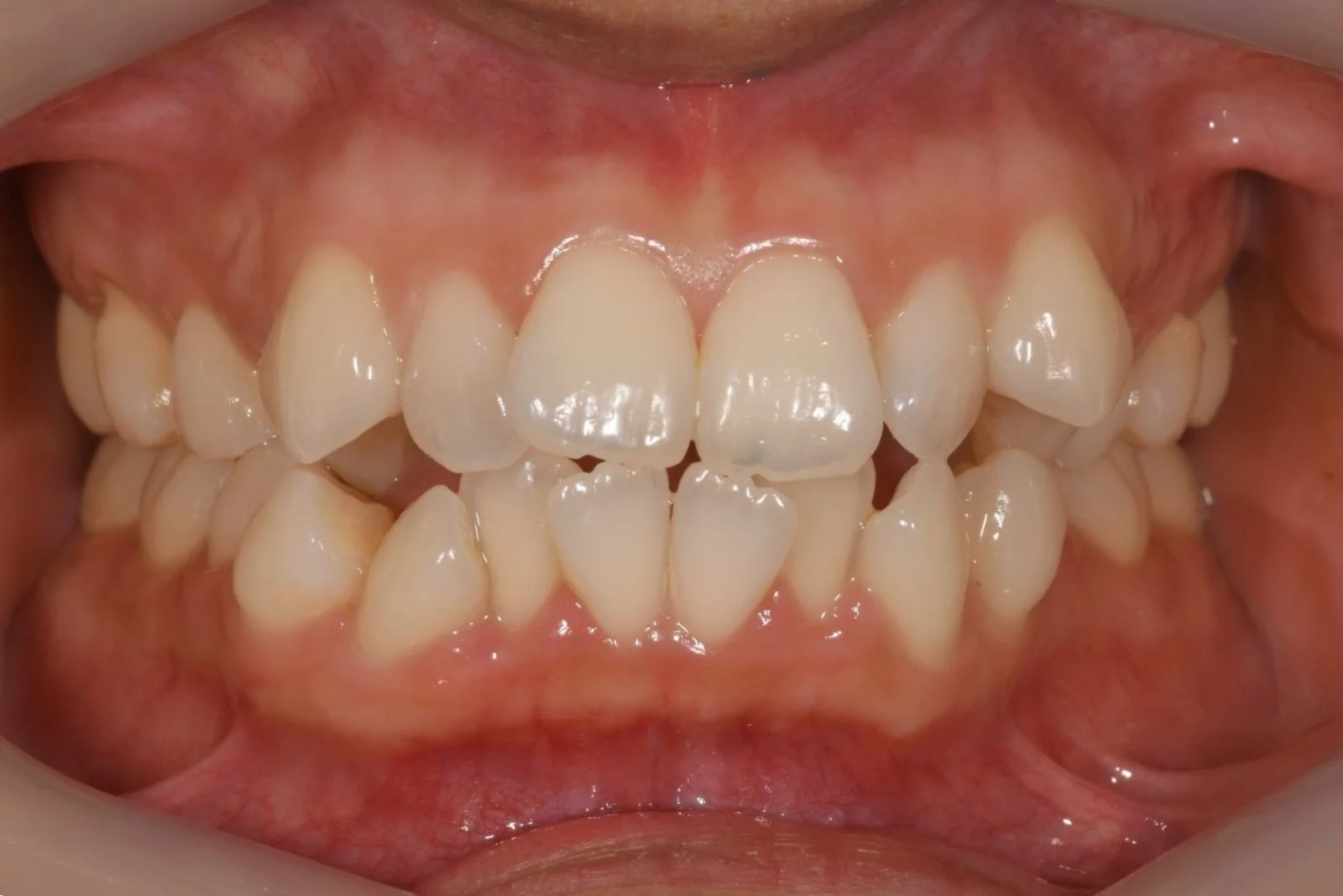
  • 画像
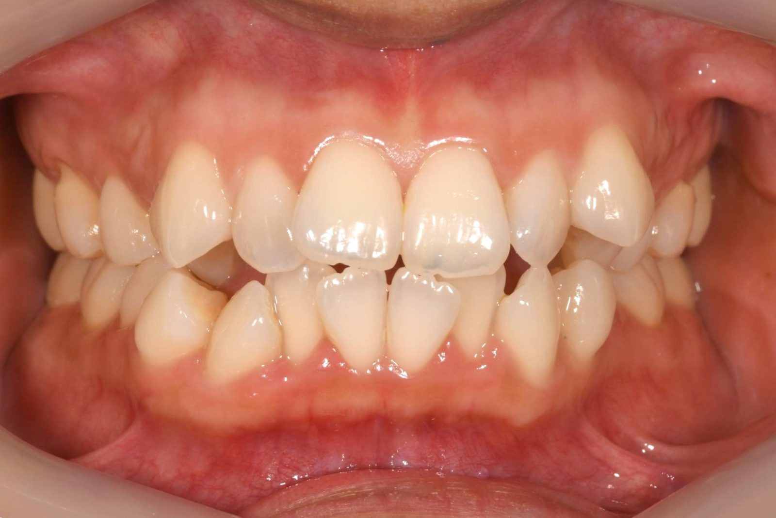
  • 画像
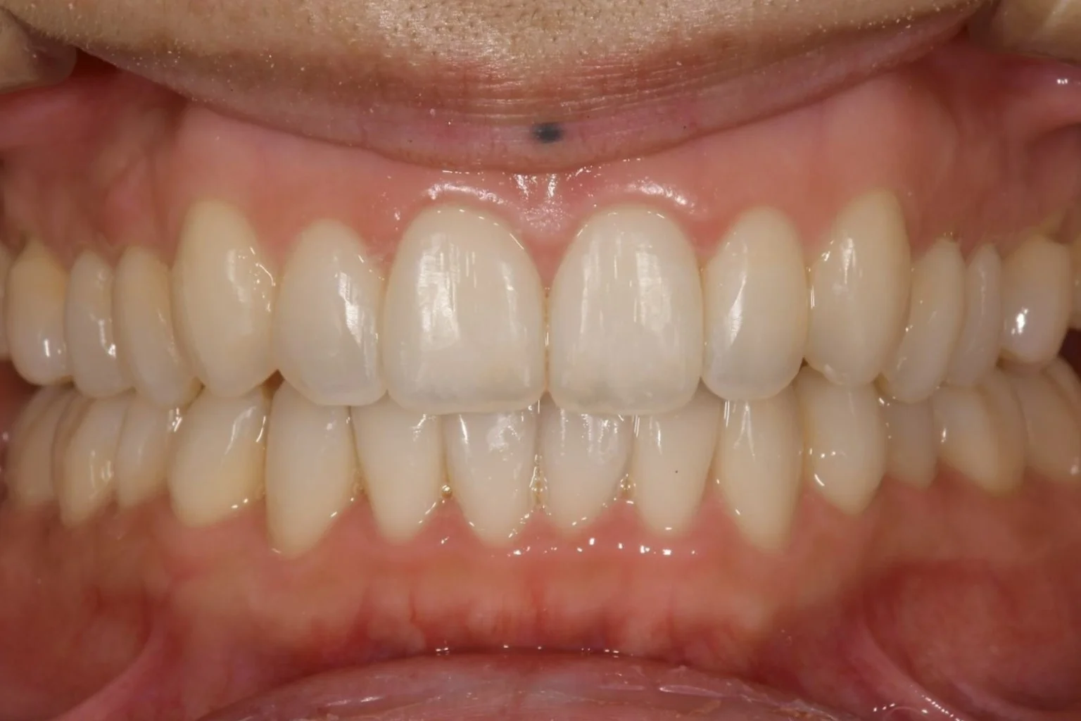
  • 治療前
  • 治療後
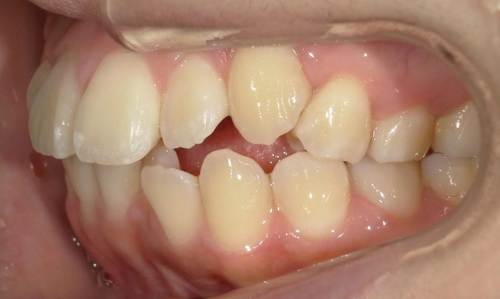
  • 治療前
  • 治療後
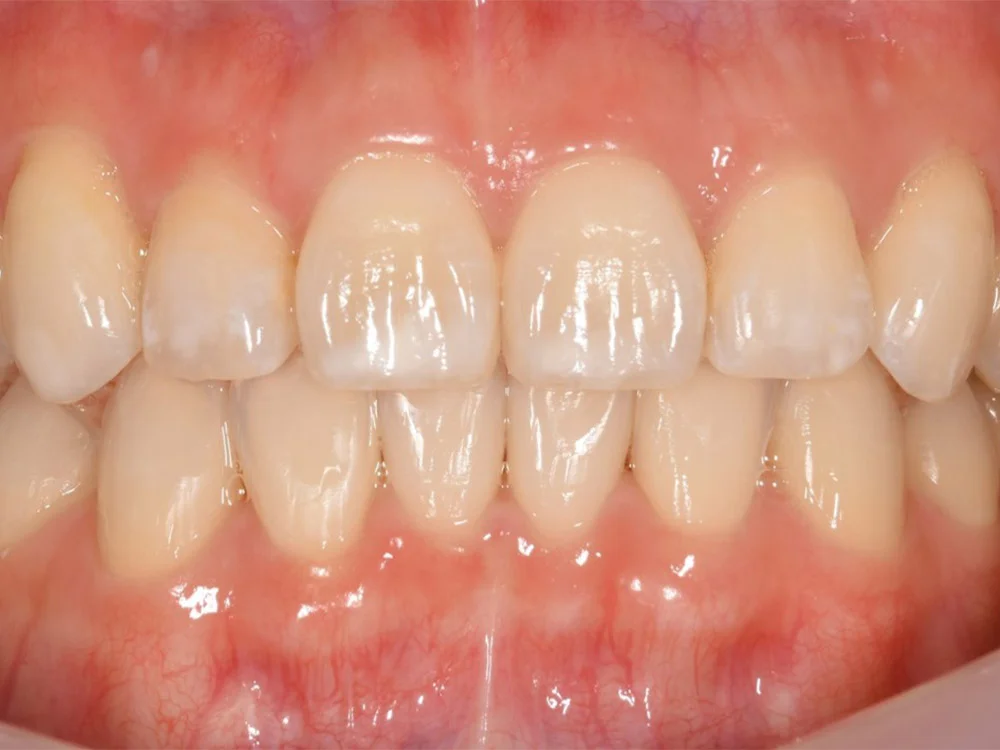
  • 治療前
  • 治療後
  • 治療前
  • 治療後
  • 治療前
  • 治療後
  • 治療前
  • 治療後
  • 治療前
  • 治療後

歯科医師の技量で差が出やすい「マウスピース矯正」

マウスピース矯正」は、透明で目立ちにくく、取り外しもできるため、多くの方に選ばれている治療法です。

「できるだけ自然な見た目で歯並びを整えたい」
「仕事や学校生活に支障なく続けたい」

そんな想いに応えてくれる方法として、幅広い年代の方に支持されています。

そんなマウスピース矯正ですが、見た目の美しさやお手入れのしやすさなど、多くのメリットがある一方で、実はとても大切なポイントがあります。

同じ装置でも、結果は“誰が診るか”で変わるという点です。

マウスピース矯正は、コンピューターで歯の動きを計画し、それに合わせて装置を作ります。
一見すると「どこで受けても同じ」ように感じるかもしれません。

しかし実際は、
  • どこまで歯を動かすのか
  • どの順番で動かすのか
  • どんな仕上がりをゴールにするのか
といった治療計画は、すべて担当する歯科医師の判断に委ねられています。

同じ地図を持っていても、運転する人によって到着時間やルートが変わるように、歯科医師によって治療期間や仕上がりに差が出やすいのです。

では、矯正治療ではなぜそのようなことが起こるのでしょうか?その要因は、「治療計画の精度」の低さにあります。では、なぜ治療計画の精度が低いのか?

それはAIが提示する治療計画を鵜呑みにしてしまうからです。

AI任せの治療計画は「精度」が不十分

マウスピース矯正は、コンピューターやAI(人工知能)を使って歯の動きを計画する治療法です
「最新の技術だから安心」そう感じられる方も多いと思います。

確かに、AIはとても便利な仕組みです。
しかし、AIが作る計画はあくまで「理想的なシミュレーション」。
実際のお口の中では、歯の動き方や骨の状態、かみ合わせの力など、AIがつかみきれない情報が複合的に絡み合って、予測通りにいかないことも少なくありません

マウスピース矯正治療で大切なのは「AI+人の目」です。
  • 計画が本当に無理のないものか
  • 歯の動きにズレが出ていないか
  • ゴールに向かって順調に進んでいるか
を、経験と知識をもった歯科医師が責任をもって確認し続けることで、治療計画がスムーズに進んでいきます。

AIがカーナビだとすれば、最終的にハンドルを握り、安全にゴールまで導くのは人の役目です。
マウスピース矯正でしっかりと結果を出すためには、AIを有効活用しても、AIに頼らずに的確に状況を判断できる歯科医師の存在が欠かせないのです

「AI主導」と「人主導」で治療期間はどう変わる!?

マウスピース矯正は、AIがコンピューターを使って歯の動きを計画します。
しかし、本当に大切なのは「誰がその計画をチェックし、修正し、導いていくか」です。

以下の図は、同じ症例を「AI主導」と「人主導」で治療した場合の治療期間を比較したものになります。
同じ症例を比べた場合、AI主導の計画では約2年半。
経験豊富な歯科医師が主導した計画では約1年。

このように、1年半もの差が出ることがあります。
さらに、使用するマウスピースの枚数も、人が設計した場合は約1/3で済むケースもあります。

とはいえ、たんに「人が設計する」だけで良いわけではありません。
歯科医師の診断力や経験が不足していれば、人が計画しても治療期間は延びてしまいます。
当院では、マウスピース矯正を専門に実績を積み、世界レベルの大会でも表彰されたDr.が必ず設計を担当します。
多くの症例を積み重ねてきたからこそ、
  • 無理のない動かし方
  • 効率のよい順序
  • 後戻りしにくい仕上がり
を見据えた治療が可能となります。

治療計画の設計をワールドクラスの「矯正専門家」が担当

当院のマウスピース矯正では、ワールドクラスの矯正専門家である理事長が、治療計画の設計を全ての症例で担当します

マウスピースは「メーカー」によって「治療の質」が変わってきます!!

【注意】マウスピース矯正でのトラブルが相次いでいます!

マウスピース矯正の仕上がりが、歯科医師の技量によって大きく変わることはご理解いただけたと思います。
これに加えて、マウスピース矯正では、どのメーカーを選ぶかということも非常に大切なポイントです。マウスピースのメーカーは世界中にあり、歯科医院によって採用しているメーカーが異なります。

メーカーによってはマウスピースの質に「?」がつくものもあります。
特に以下に当てはまるメーカーのマウスピースは、トラブルが起こりやすいので注意が必要です。
  • 臨床実績が少ない、あるいは開示していないメーカー
  • 日本では承認されていない材料を使用しているメーカー
  • 安価すぎるメーカー
当院で採用しているのは、世界シェア№1のメーカーである米国アライン社のインビザラインになります
インビザラインは、非常に多くのドクターに支持されており、部分矯正から全体矯正まで幅広い症例に対応できるマウスピースです。世界100ヶ国以上・約1400万人以上の歯列矯正治療に用いられている実績があります。

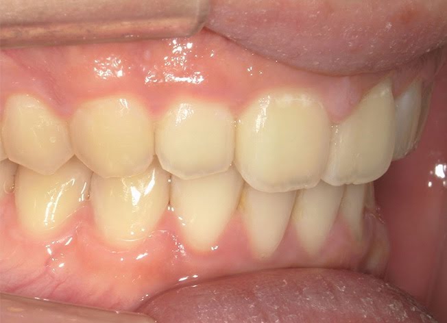
横顔のフェイスライン(Eライン)もより美しく

  • 治療前
  • 治療後
横顔の美しさを考えるとき、「Eライン」という目安があります。これは、鼻先とあごを結んだラインに対して、唇がどの位置にあるかを見る考え方です。矯正治療は、歯並びを整えるだけでなく、横顔のEラインも整える効果のある治療なのです。

例えば、
  • 前歯が前に出ている(出っ歯)
  • 下あごが前に出ている(受け口)
  • 歯が重なり合っている(叢生)
このような歯並びの場合、口元が前に出やすく、横顔のバランスに影響することがあります。
これらの歯並びを矯正治療することで歯の位置が整うと、口元の突出感がやわらぎ、横顔がすっと整った印象になります。

フェイスラインを整える方法として、美容整形という方法があります。しかし、これは外から形を変える方法なので、時間とともに変化が出ることもあります。

一方、矯正治療は、歯やかみ合わせという“土台”から整えていく方法です。そのため、時間はかかりますが、きちんと整えれば効果は長く安定します。そして何より、「作られた美しさ」ではなく、その方本来の自然な魅力が引き出されることが大きな特長となります。

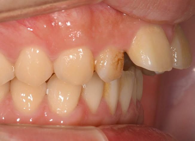
「他院で断られた…」という方、あきらめないでください

「マウスピースでは無理です」
そう言われて、矯正治療をあきらめかけていませんか?

実は、歯科医院によって、できる治療は大きく異なります。
お口の状態が少し複雑なだけで、治療を断られてしまうケースも少なくありません。

例えば、こんな理由で断られていませんか?
  • 歯ぐきの病気が進んでいる
  • すでに抜けている歯がある
  • ブリッジやインプラントが入っている
  • 抜歯が必要なのでマウスピースは無理
当院ではこうした患者さんでも、ほとんどの場合、以下のように対応することで治療が可能になります。

歯ぐきの病気がある場合

まずは歯ぐきの治療を優先します
必要に応じて専門の医師と連携し、土台を整えてから安全に矯正へ進みます。家を建てる前に地盤をしっかり固めるのと同じです。順番を守れば、矯正が可能になるケースは多くあります。

抜けている歯・ブリッジ・インプラントがある場合

歯がない部分があっても、全体のバランスを見ながら計画を立てることで治療できる場合がほとんどです。
ブリッジやインプラントが入っている方も、それを含めたうえで歯の動かし方を設計します。「もう治療してあるから無理」と決めつける必要はありません。

抜歯が必要と言われた方

一般的に「抜歯が必要なケースはマウスピースでは難しい」と言われることがあります。
しかし、矯正治療に精通した歯科医師であれば、歯の動き方を細かく設計することで対応できる場合があります

他院で断られてしまった症例の矯正治療について詳しくお知りになりたい方は、他院で矯正を断られたのページをご覧ください。

マウスピース矯正治療の流れ

STEP① 無料カウンセリング

まずは、無料カウンセリングでゆっくりお話をうかがうところから始まります。
  • 歯並びの気になるところ
  • 治療期間の目安
  • 費用について
  • 生活への影響
などをわかりやすくご説明します。
無理に治療をおすすめすることはありませんので、どうぞ安心してお越しください。

STEP② CT・レントゲン検査

治療をご希望される方には、詳しい検査を行います。
CTレントゲン検査を行い、歯の根っこや顎の骨の状態を立体的に確認し、安全に歯を動かせるかどうかを入念にチェックします
見えない部分をきちんと確認することで、安心して治療を進められるようになります。

STEP③ 口腔内スキャン・写真撮影

従来の粘土のような型取りではなく、「口腔内スキャン」と呼ばれる小さなカメラでお口の中をスキャンします。
短時間で、より精密なデータが取れるため、患者さまの負担も少なくなっています
また、治療前の状態を写真で記録します。治療後に「こんなに変わったんだ」と実感していただくための大切な記録となります。

STEP④ 治療計画の作成

検査データをもとに、AIを使って歯の動き方を細かく設計します
とはいえAIが算出したデータに任せきりにせず、理事長が一つひとつ手作業で計画を確認・修正します。
経験に基づいた設計だからこそ、無理のないスムーズな治療が可能になります。

STEP⑤ マウスピースの発注

使用するマウスピースは、世界中で優れた実績を残しているインビザラインに発注します。
当院では、一度にすべてを作るのではなく、1クール分の約14枚(約14週間分)ずつ発注します。
1クールごとに歯の動きを確認しながら次の計画を立てるため、より正確で無駄のない治療が可能となります。

STEP⑥ 矯正開始

マウスピースが届いたら、いよいよ治療開始です。
1〜2週間ごとに新しいマウスピースへ交換しながら、少しずつ歯を動かしていきます。
必要に応じて、
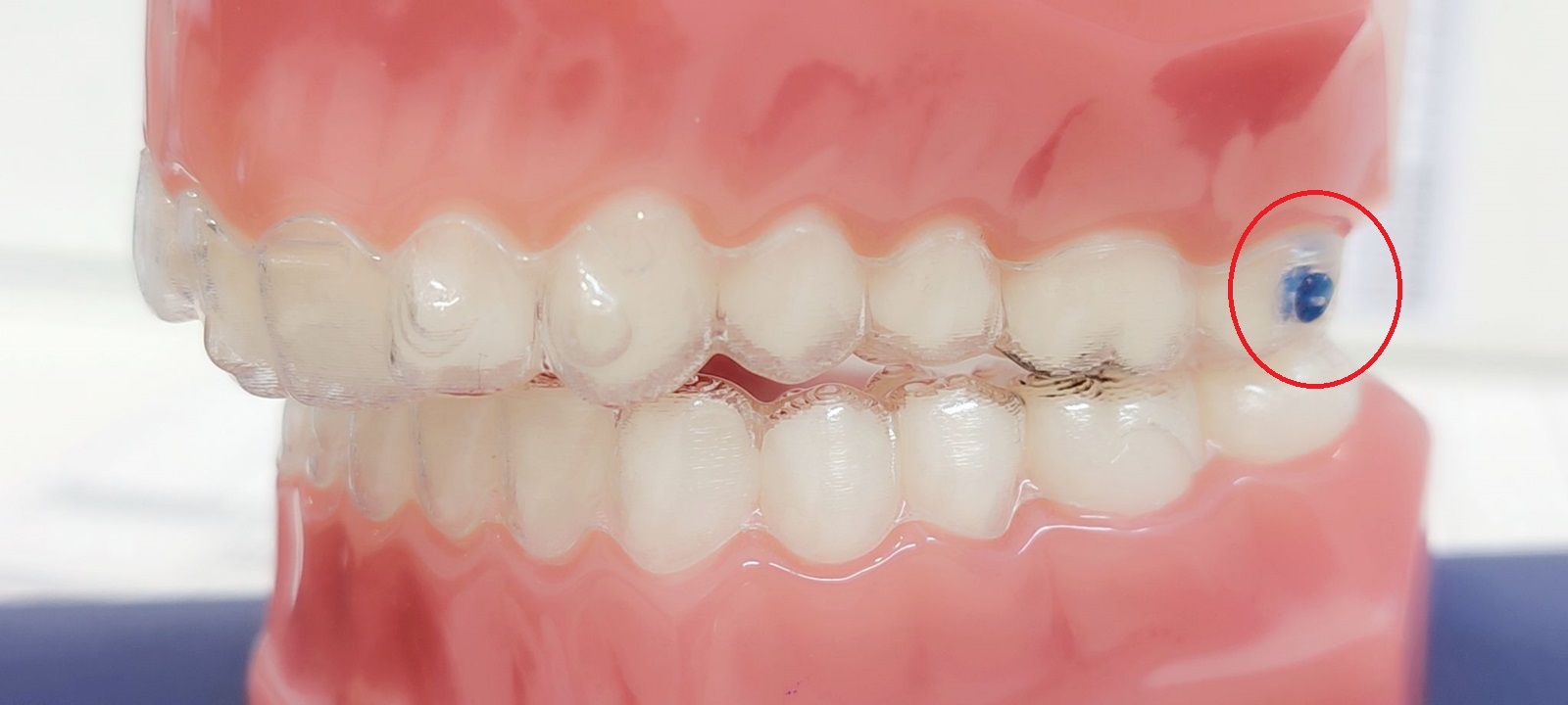
  • 歯と歯の間をほんのわずか削って整える処置
  • 歯の表面に小さな白い補助パーツをつける処置
を行うことがあります。
どちらも安全で一般的な方法ですのでご安心ください。

STEP⑦ 経過チェック

1クール終了ごとに、歯の動きを一緒に確認します。
モニターでシミュレーション画像と実際の歯並びを見比べながら、順調に矯正が進んでいるかをチェックします。
必要があれば、
スキャン → 再設計 → マウスピース発注
という流れを繰り返します。
常に“今の状態”を見ながら進めるので安心です。

STEP⑧ 治療完了

歯並びが整ったら、最終調整を行います。
  • 噛み合わせの微調整
  • 補助パーツの取り外し
  • 細かな形の調整
  • 保定装置(リテーナー)の作成
ここまで丁寧に仕上げて、治療完了です。

STEP⑨ 保定期間(後戻りを防ぐ大切な時間)

治療後すぐの歯は、まだ少し動きやすい状態です。
そのままにすると、元の位置に戻ろうとします。
そこで、専用のマウスピース(リテーナー)を装着し、歯を安定させます。
最低2年の装着をお勧めしています
きちんと守っていただければ、美しい歯並びを長く保つことができます。

コラムご契約いただいた方に「ホワイトニング剤」をプレゼント

当院では、矯正治療をご契約いただいた方へ、7日分のホワイトニング剤をプレゼントしています。
歯並びが整うと、口元の印象はぐっと良くなります。そこに自然な白さが加わると、笑顔の明るさがさらに引き立ちます。

ピュアリオ歯科が高い評価を受ける「理由」

最短3ヵ月/44万円(税込)~のマウスピース矯正

世界TOPランクDr.が必ず「設計を担当」

マウスピース矯正は、「どこで受けても同じ」と思われがちですが、実は担当するドクターによって、仕上がりや治療期間に大きな差が出る治療です。当院の理事長・Dr.湊は、これまでに5,000症例を超える矯正治療を手がけてきました。その実績と技術が評価され、インビザラインにおいて国内外でも限られたドクターのみが選ばれる「トッププロバイダー」に3大会連続で選出されています。

さらに当院は、7年連続でダイヤモンドプロバイダーを取得し、現在は「ブルー・ダイヤモンドプロバイダー」に認定。これは年間751症例以上を手がける医院にのみ与えられる称号です。これだけ多くの症例が集まるのは、患者さまからの信頼の証であり、同時に、さまざまなケースに対応できる経験と技術があるからです。世界水準の矯正技術による治療を、ぜひ当院でご体感ください。

世界から高い評価を受ける「MINATOメソッド」

一般的な矯正治療ではAIによるシミュレーションが多用されますが、計画と実際の動きに生じるわずかなズレが積み重なり、治療期間が大幅に延びるリスク/治療精度が落ちるリスクが報告されています。こうした課題に対し、当院が提供する「MINATOメソッド」は、豊富な実績を持つ理事長がすべての設計を監修するAI任せにしないフルオーダーメイドの治療法です。単に歯並びを整えるだけでなく、噛み合わせの精度まで追求することで、短期間で質の高い治療結果を実現しています。

初診「個別」相談へのご案内

当院では、患者さんが抱えていらっしゃるお口のお悩みや疑問・不安などにお応えする機会を設けております。どんなことでも構いませんので、私たちにお話ししていただけたらと思います。
ご興味がある方は下記からお問い合わせください。

ご予約・お問い合わせ03-6435-0285 電話回線工事中のため、お電話は田町三田院にて承ります。

24時間WEB予約 LINE相談 モニター割/学割

〒273-0032
千葉県船橋市葛飾町2丁目341−3

西船橋駅より徒歩3分

このページの先頭に戻る