相談+診断=無料
矯正を断られた方
安心してください!
当院なら矯正が可能です

下記の状態でも矯正できます!
- 抜歯が必要と言われ
- マウスピースではできないと言われた
- 手術が必要と言われた
- 歯周病が進行している
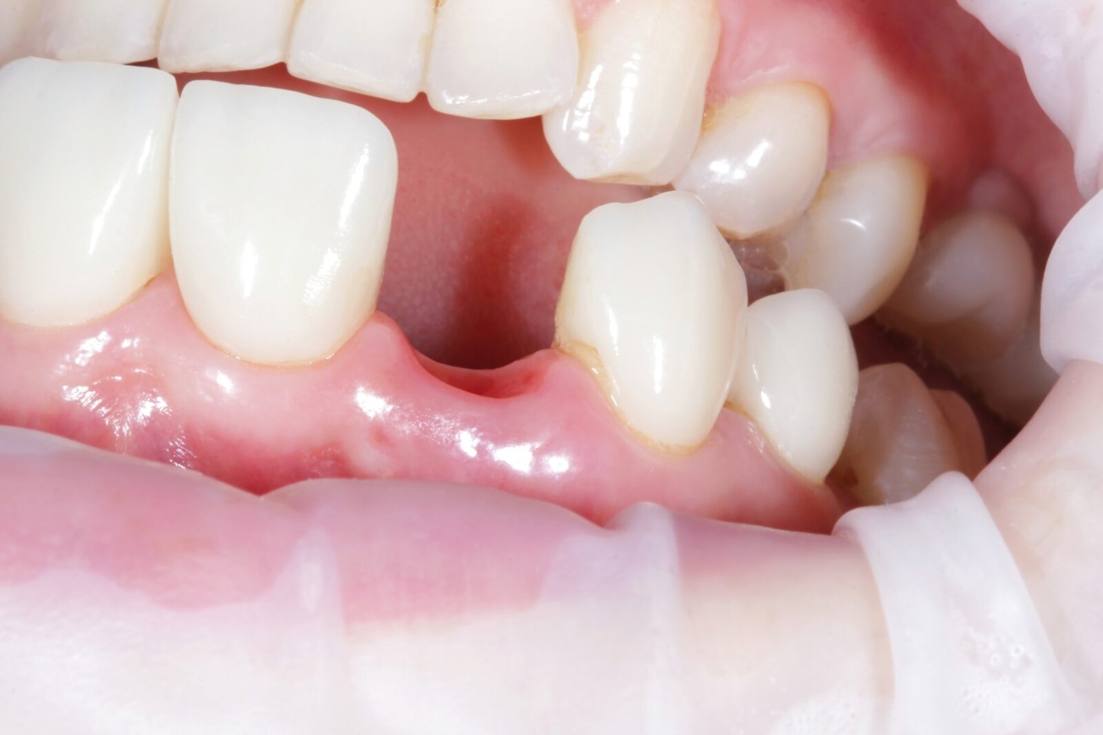
- ブリッジが入っている
- 入れ歯が入っている























当院では、患者さんが抱えていらっしゃるお口のお悩みや疑問・不安などにお応えする機会を設けております。どんなことでも構いませんので、私たちにお話ししていただけたらと思います。
ご興味がある方は下記からお問い合わせください。
