相談+診断=無料
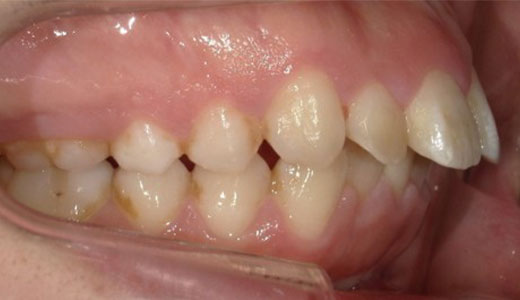
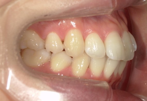
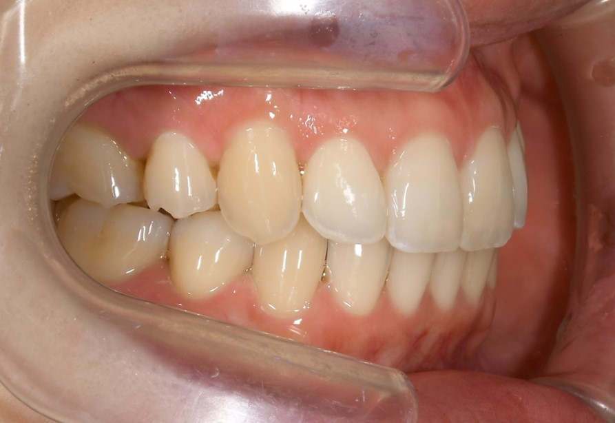
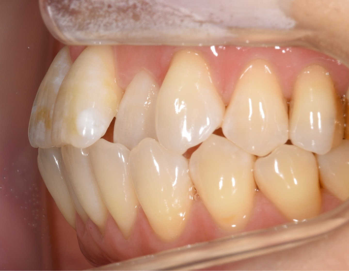
前歯の部分矯正
マウスピースで最短3カ月






















歯並び全体を整える矯正では、奥歯を支点にお口全体を動かしていくため、歯を支えている骨(歯槽骨)にも変化が生じ、痛みや違和感を感じることがあります。
一方で、部分矯正は動かす歯が限られているため、お身体への負担も比較的少なく、痛みも抑えられる傾向があります。










当院では、患者さんが抱えていらっしゃるお口のお悩みや疑問・不安などにお応えする機会を設けております。どんなことでも構いませんので、私たちにお話ししていただけたらと思います。
ご興味がある方は下記からお問い合わせください。
