WEB予約 LINE相談 モニター割引/学割

ガミースマイル改善

03-6435-0285電話回線工事中のため、
お電話は田町三田院にて承ります。

24時間WEb予約 LINE相談
キービジュアル
相談+診断=無料

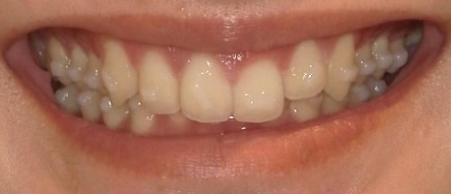
笑うと歯ぐきが目立つ
ガミースマイル
矯正で改善できます!

  • 治療前
  • 治療後

「ガミースマイル」は矯正で改善できます!

笑ったときに歯ぐきが大きく見える状態は、「ガミースマイル」と呼ばれています。
見た目のコンプレックスとして気にされる方が多いのですが、実はそれだけではありません。
歯並びや噛み合わせのバランスが影響している場合もあり、放っておくと、
  • 口呼吸になりやすい
  • 虫歯歯周病のリスクが高くなる
といったお口のトラブルにつながることもあります。

なぜガミースマイルになるの?

ガミースマイルになる主な原因としては、次のようなものがあります。

歯並びの影響(前歯が前に出ている)
いわゆる「出っ歯」と呼ばれる歯並びの場合、上の前歯と歯ぐきが前に出ている状態になっています。
そのため笑ったときに、上唇が前歯に押し上げられ、歯ぐきが見えやすくなることがあります。

噛み合わせが深い
噛み合わせが深く、下の前歯が上の歯に大きく隠れてしまう状態(ディープバイトも、笑ったときに歯ぐきが目立ちやすくなる原因の一つです。
この状態では、口元のバランスが崩れ、笑ったときに上唇が上がりやすくなることがあります。

歯ぐきと歯のバランス
歯ぐきの量に対して歯が小さい場合、相対的に歯ぐきが目立ってしまうことがあります。

唇や口元の筋肉の影響
上唇の筋肉が強く働く場合、笑ったときに唇が大きく持ち上がり、歯ぐきが見えやすくなることがあります。

 

このように、「歯並び」「噛み合わせ」「骨格・筋肉のバランス」など、さまざまな原因で現れるガミースマイルですが、「歯と歯ぐきのバランスを整える治療」を行うことで、改善することが可能です。

「ガミースマイル」はどう治す!?

ガミースマイルの治療方法としては、
  • ボツリヌス注射(ボトックス注射)
  • 歯ぐきの形を整える治療(歯冠延長術)
などの「美容医療」的なアプローチがよく知られています。

でも実は、歯並びや前歯の位置が原因になっている場合は、歯科の「矯正治療」で改善できることも多いのです。

ガミースマイルの矯正治療

矯正治療でガミースマイルを治す場合、口元のバランスを整えていきます
上の前歯が前に出ていたり、外側に傾いていたりすると、笑ったときに唇が押し上げられてしまい、歯ぐきが目立ちやすくなることがあります。

そこで、歯を少しずつ動かしながら、「前歯の位置を適切な場所へ整える」「前に傾いた歯をまっすぐに近づける」といった調整を行い、口元全体のバランスを整えるのです。歯の角度や位置が整うことで、笑ったときの印象も変わっていきます。

 

場合によっては、歯並びの横幅を少し広げる治療を行うこともあります
歯列のバランスが整うことで、「歯ぐきの見え方がやわらぐ」「口元のラインが自然になる」といった変化が期待できます。

ピュアリオ歯科が高い評価を受ける「理由」

最短3ヵ月/44万円(税込)~のマウスピース矯正

世界TOPランクDr.が必ず「設計を担当」

マウスピース矯正は、「どこで受けても同じ」と思われがちですが、実は担当するドクターによって、仕上がりや治療期間に大きな差が出る治療です。当院の理事長・Dr.湊は、これまでに5,000症例を超える矯正治療を手がけてきました。その実績と技術が評価され、インビザラインにおいて国内外でも限られたドクターのみが選ばれる「トッププロバイダー」に3大会連続で選出されています。

さらに当院は、7年連続でダイヤモンドプロバイダーを取得し、現在は「ブルー・ダイヤモンドプロバイダー」に認定。これは年間751症例以上を手がける医院にのみ与えられる称号です。これだけ多くの症例が集まるのは、患者さまからの信頼の証であり、同時に、さまざまなケースに対応できる経験と技術があるからです。世界水準の矯正技術による治療を、ぜひ当院でご体感ください。

世界から高い評価を受ける「MINATOメソッド」

一般的な矯正治療ではAIによるシミュレーションが多用されますが、計画と実際の動きに生じるわずかなズレが積み重なり、治療期間が大幅に延びるリスク/治療精度が落ちるリスクが報告されています。こうした課題に対し、当院が提供する「MINATOメソッド」は、豊富な実績を持つ理事長がすべての設計を監修するAI任せにしないフルオーダーメイドの治療法です。単に歯並びを整えるだけでなく、噛み合わせの精度まで追求することで、短期間で質の高い治療結果を実現しています。

初診「個別」相談へのご案内

当院では、患者さんが抱えていらっしゃるお口のお悩みや疑問・不安などにお応えする機会を設けております。どんなことでも構いませんので、私たちにお話ししていただけたらと思います。
ご興味がある方は下記からお問い合わせください。

ご予約・お問い合わせ03-6435-0285 電話回線工事中のため、お電話は田町三田院にて承ります。

24時間WEB予約 LINE相談 モニター割/学割

〒273-0032
千葉県船橋市葛飾町2丁目341−3

西船橋駅より徒歩3分

このページの先頭に戻る